S2k-Leitlinie: Persistierender Ductus arteriosus im Kindes- und Jugendalter
Einleitung und Hintergrund
Die S2k-Leitlinie zum persistierenden Ductus arteriosus (PDA) der Deutschen Gesellschaft für Pädiatrische Kardiologie (DGPK) befasst sich mit dem isolierten offenen Ductus Botalli im Kindes- und Jugendalter. Der wesentlich häufiger festzustellende offene Ductus des Frühgeborenen ist nicht Gegenstand der Leitlinie, fließt aber aufgrund seines häufigen Vorkommens zur Abgrenzung mit in diesen Artikel ein.
Der offene Ductus arteriosus ist eine persistierende Gefäßverbindung zwischen der descendierenden thorakalen Aorta und der Pulmonalarterie, nachdem der normale physiologische Verschluss des fetalen Ductus ausgeblieben ist. In der Mehrzahl der Fälle ist der Ductus arteriosus linksseitig lokalisiert, bei Patienten mit einem Rechtsaortenbogen ist es allerdings durchaus möglich, dass ein rechtsseitiger Ductus Botalli oder sogar ein beidseitiger Ductus Botalli vorliegt.
Während der Schwangerschaft erhalten die nicht entfalteten Lungen des Fötus nur ca. fünf bis acht Prozent des Herzzeitvolumens aus der Pulmonalarterie. Der offene Ductus Botalli dient als ungebremster Auslass für den Auswurf des rechten Ventrikels in die Pulmonalarterie. Im fetalen Kreislauf gelangen etwa 55 bis 60 Prozent des Systemoutputs aus der rechten Herzhälfte über den intrauterinen offenen Ductus zur Aorta. Die während der Schwangerschaft hohen Spiegel an zirkulierenden Prostaglandinen sowie die nicht belüftete Lunge des Fötus halten den Ductus Botalli offen. Nach der Geburt und dem Abtrennen des Neugeborenen von der Plazenta sinkt der Prostaglandinspiegel rasch, die Lungen expandieren mit den ersten Atemzügen und die noch zirkulierenden Prostaglandine werden durch die mittlerweile funktionierende Lunge metabolisiert. Der Lungenwiderstand fällt mit der einsetzenden Atmung. All dies führt letztendlich zu einer Kontraktion der glattmuskulären Zellen in der Ductuswand, die zu dessen dauerhaften Verschluss führen.
Der Blutfluss in der Lungenarterie shiftet dann typischerweise in Richtung der beiden Pulmonalarterien. Der Komplettverschluss in normalgewichtigen, reifen Neugeborenen dauert unter Umständen bis zu drei Tage nach der Geburt. In dieser Phase ist echokardiografisch öfters noch ein residueller Shunt über den Ductus sichtbar oder auskultierbar. Alle vorbeschriebenen Reaktionen beanspruchen eine gewisse Reife und Leistungsfähigkeit des Neugeborenen, die viele Frühgeborene nicht besitzen. Bei mehr als 80 Prozent der Frühgeborenen mit einem Gewicht von weniger als 750 g ist ein offener Ductus Botalli drei Tage nach der Geburt nachweisbar. Ein solcher persistierender Ductus ist mit einer deutlich erhöhten Morbidität und Mortalität für die betreffenden Frühgeborenen assoziiert. Die Krankheitsrelevanz eines offenen Ductus Botalli ist definiert über das darin fließende Shuntvolumen, welches von der Größe der Kommunikation und dem Lungenwiderstand abhängig ist. Ein offener Ductus Botalli kann mit anderen Herzfehlern assoziiert sein, ist aber auch als singuläre Entität vorhanden und krankheitsrelevant [1, 2].
Krankheitssymptome
Ein Offenbleiben des Ductus arteriosus Botalli führt mit dem postnatalen Absinken des Lungengefäßwiderstandes zu einem aortopulmonalen systolisch-diastolischen Links-Rechts-Shunt und einer entsprechenden Lungenüberflutung (pulmonale Hyperämie, Abbildung 1). Im Neugeborenenalter besteht, so lange der Lungenwiderstand noch hoch ist, nur ein systolisches, später ein kontinuierliches systolisch-diastolisches Geräusch in der linken Infraklavikularregion. Ein kleiner offener Ductus Botalli ist häufig nur mit einem uncharakteristischen systolischen Herzgeräusch vergesellschaftet; ein sehr kleiner, hämodynamisch irrelevanter Ductus ist klinisch und auskultatorisch stumm („silent duct“).

Abbildung 1: Offener Ductus Botalli mit Links-Rechts-Shunt von der Aorta descendens zur Pulmonalisbifurkation. Quelle: Professor Dr. Boulos Asfour, Deutsches Kinderherzzentrum St. Augustin.
Charakteristisch für den hämodynamisch bedeutsamen Ductus ist ein präkordiales Schwirren und eine große Blutdruckamplitude. Ca. 15 Prozent der betroffenen Säuglinge zeigen Symptome einer schweren Herzinsuffizienz mit Tachy-/Dyspnoe, Hepatomegalie und Gedeihstörung.
Frühgeborene mit ihrer unreifen und vulnerablen Lunge sind besonders anfällig für einen offenen Ductus Botalli. Ein ausgeprägtes aortopulmonales Shuntvolumen bei offenem PDA führt daher oft dazu, dass betroffene Kinder maschinell beatmet werden müssen und nicht vom Respirator abtrainiert werden können.
Ein ausgeprägter Links-Rechts-Shunt über einen PDA schädigt aber nicht nur die Frühgeborenenlunge, er führt auch oft zu einem relevanten Steal-Phänomen am Systemkreislauf, der eine nekrotisierende Enterokolitis (NEC) und zerebrale Ischämien mit sekundären Einblutungen begünstigt.
Diagnostik
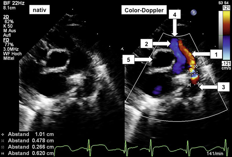
Zielsetzung der Diagnostik ist die eindeutige Darstellung der Ductus-Anatomie (Abbildung 2) sowie die Evaluation seiner hämodynamischen Auswirkungen. Das Augenmerk richtet sich dabei insbesondere auf die Shuntverhältnisse und das pulmonale Druckniveau. Die Echokardiografie hat sich seit Jahren für diese Fragestellungen als ideales diagnostisches Werkzeug etabliert und kann praktisch alle Fragestellungen zur Planung des therapeutischen Vorgehens beantworten. Gleichzeitig ist die Echokardiografie in der Lage, weitere anatomische Anomalien auszuschließen.
Abbildung 2: Echokardiografische Darstellung eines offenen Ductus Botalli, linksseitig B-Bild, auf der rechten Seite mittels Farbdoppler dargestellter Blutfluss (die mit „Kreuzchen“ markierte Strecke ist die Länge des persistierenden Ductus Botalli, der Abstand zwischen den Markierungen entspricht der relativen Breite). (1) Retrograder Ductusfluss aus der descendierenden Aorta (in Rot) zur Pulmonalklappe hin gerichtet; (2) Antegrader Blutfluss aus der Arteria pulmonalis (in Blau) in Richtung Pulmonalisbifurkation; (3) Aorta descendens; (4) Pulmonalklappenlevel; (5) Echokardiografisch quer angeschnittene Aorta ascendens.
Der hämodynamisch relevante Ductus Botalli ist auskultatorisch meistens gut nachweisbar und bei Verdacht auf Vorliegen eines PDA sollte (Empfehlungsgrad I A) gezielt eine Ultraschalluntersuchung durch einen Kinderkardiologen vorgenommen werden.
Die echokardiografische Untersuchung hat zum Ziel, den Ductus hinsichtlich seiner Größe sowie hämodynamischen Relevanz (Linksherzvolumenbelastung, aortopulmonale Druckdifferenz, Abschätzung der pulmonalen Druckverhältnisse) zu evaluieren. Mit der Doppleruntersuchung der zerebralen und abdominellen Arterien kann ferner das diastolische Leck über den erniedrigten Resistance-Index quantifiziert werden [3].
Das Thoraxröntgenbild zeigt meist eine Kardiomegalie und mehr oder weniger ausgeprägte Zeichen der pulmonalen Hyperämie. Das EKG betroffener Patienten weist bei relevantem Ductus eine Linksherzbelastung auf. Rechtsherzhypertrophiezeichen sind als Hinweis auf eine erhebliche pulmonale Drucksteigerung zu werten.
Eine Herzkatheteruntersuchung zur Diagnosesicherung eines PDA ist nicht indiziert (Empfehlungsgrad II A). Bei sehr großem Ductus Botalli kann jedoch (Empfehlungsgrad II B) die Darstellung der Ductus-Anatomie von Bedeutung sein. Bei pulmonaler Druck- oder Widerstanderhöhung (mehr als zwei Drittel des Systemdrucks/-widerstands) muss eine Austestung mit pulmonal-vaskulären Nachlastsenkern und/oder eine Ballontestokklusion des Ductus über das weitere therapeutische Vorgehen entscheiden [4, 5, 6].
Die Herzkatheterisierung als therapeutische Maßnahme dient dem interventionellen Verschluss des Ductus mit speziell dafür entwickelten Verschlusssystemen.
MRT- und CT-Untersuchungen können in besonderen Situationen zur anatomischen Darstellung des Ductus bei größeren Kindern und Jugendlichen hilfreich sein. In klinischer, hämodynamischer und echokardiografischer Hinsicht können neben dem „Frühchen-Ductus“ folgende Diagnosegruppen unterschieden werden:
1. der sehr kleine, hämodynamisch irrelevante und auskultatorisch stumme Ductus („silent duct“),
2. der kleine, hämodynamisch unbedeutende, aber auskultatorisch nachweisbare Ductus,
3. der hämodynamisch relevante Ductus mit systolisch-diastolischem Herzgeräusch, mit oder ohne klinische Herzinsuffizienzzeichen,
4. der sehr große Ductus mit pulmonaler Hypertonie/Widerstandserhöhung.
Behandlungsindikationen
Diagnosegruppe 1 – hämodynamisch irrelevanter Ductus Botalli
Der native klinisch stumme Ductus bedarf keiner Behandlung und keiner Kontrolle [1], da der stumme Ductus praktisch immer eine Zufallsdiagnose ist. Das Endarteriitisrisiko wird heute nach übereinstimmender Ansicht als vernachlässigbar eingeschätzt; es ist generell umso geringer, je kleiner der Ductus und je jünger das Kind ist [7-12].
Diagnosegruppe 2 – auskultierbarer, hämodynamisch unbedeutender Ductus Botalli
Der kleine, hämodynamisch nicht relevante Ductus muss nicht im Säuglingsalter verschlossen werden, da prinzipiell ein Spontanverschluss noch möglich ist und die Komplikationsrate im Rahmen von Herzkatheterinterventionen (zum Beispiel periphere arterielle Gefäßverschlüsse) in dieser Altersgruppe höher ist. Der katheterinterventionelle Verschluss des PDA kann zu einem späteren Zeitpunkt vorgenommen werden.
Nach komplettem (restshuntfreiem) Verschluss sind Kontrolluntersuchungen nicht länger als zwei Jahre erforderlich. Ein chirurgisches Vorgehen ist in dieser Diagnosegruppe nicht indiziert.
Diagnosegruppe 3 – hämodynamisch relevanter Ductus Botalli
Ein hämodynamisch relevanter Ductus ohne Herzinsuffizienzzeichen und ohne pulmonale Druckerhöhung sollte nach dem ersten Lebenshalbjahr verschlossen werden. Bestehen Herzinsuffizienzzeichen, ist der Ductus-Verschluss zeitnah nach Diagnosestellung vorzunehmen.
Diagnosegruppe 4 – sehr großer PDA mit pulmonaler Hypertonie oder pulmonaler Widerstandserhöhung
Bei großem persistierendem Ductus Botalli mit pulmonaler Hypertonie ist ab dem siebten Lebensmonat eine Herzkatheteruntersuchung zur Überprüfung des pulmonalen Gefäßwiderstandes vor einem geplanten Verschluss erforderlich.
Die Behandlungsindikation bei Frühgeborenen mit einem persistierenden Ductus Botalli richtet sich nach der Zusammenschau der klinischen Situation (zum Beispiel katecholaminpflichtiger Kreislauf, notwendige Beatmung) und bestimmten echokardiografischen Kriterien (unter anderem Ductusgröße, Fluss in der Aorta descendens). Die Größe des linken Atriums (LA) ist abhängig von der Größe des PDA und der daraus resultierenden Volumenbelastung des linken Herzens, aus diesem Grund ist die Bestimmung der Ratio zwischen LA und Aorta hilfreich, um eine Behandlungsindikation abzuleiten.
Therapie
Während ein medikamentöser Verschlussversuch mit Ibuprofen oder Indometacin bei Frühgeborenen noch erfolgreich sein kann, ist dies bei reifgeborenen Neugeborenen und Säuglingen nicht mehr möglich. Ist ein medikamentöser Verschluss aussichtslos oder nicht erfolgreich, kommen alternativ eine interventionelle Therapie oder ein chirurgischer Verschluss in Betracht. Der interventionelle Verschluss eines Frühgeborenenductus unter Ultraschallkontrolle ist bis dato noch kein etabliertes Therapieverfahren, ist aber bereits an wenigen Zentren versucht worden. Für symptomatische Patienten dieser Altersgruppe bzw. Gewichtsklasse wird daher nach erfolgloser medikamentöser Therapie ein chirurgischer Ductusverschluss mit einem Clip empfohlen. Jenseits der Frühgeborenentherapie gilt gemäß der aktuellen Leitline, je größer ein symptomatisches Kind (Diagnosegruppe 2 bis 4) mit noch offenem Ductus ist, desto erfolgreicher ist der interventionelle (weniger invasive) Therapieansatz, während für kleinere Kinder die Tendenz mehr in Richtung einer chirurgischen Therapie (Diagnosegruppen 3 bis 4) weist (Diagramm 1). Der Zeitpunkt der therapeutischen Intervention richtet sich ausschließlich nach der klinischen Symptomatik der Betroffenen.
Interventioneller Ductusverschluss (Herzkatheter)
Jenseits des Früh- und Neugeborenenalters ist der katheterinterventionelle Verschluss des persistierenden Ductus arteriosus die Methode der Wahl [13-16]. Der offene Ductus sowie die benachbarten Gefäße werden angiografisch dargestellt, identifiziert und ausgemessen (Abbildung 3). Verschiedene speziell dafür entwickelte und zugelassene Verschlusssysteme sind dafür geeignet (zum Beispiel Spiralen, Nitinol-Systeme; Abbildung 4). Die restshuntfreie Verschlussrate ist mit nahezu 100 Prozent ein Jahr nach primär erfolgreicher Intervention sehr hoch [8, 10, 17-20]. Die Risiken der Intervention liegen in einer möglichen Embolisation des Verschlusssystems, einer überwiegend passager auftretenden Hämolyse und zentralen wie peripheren Gefäßkomplikationen (Blutung, Ruptur, Verschluss, Aneurysma).

Abbildung 3: Angiografische Darstellung eines PDA im seitlichen Strahlengang. (1) PDA; (2) Aorta descendens mit liegendem Pigtail-Katheter; (3) Distaler Aortenbogen; (4) Linke Arteria subclavia.
Abbildung 4: Angiografische Darstellung eines interventionell mittels speziellem Occluder verschlossem PDA im seitlichen Strahlengang. (1) Occluder im PDA (die beiden Enden des Device sind röntgenologisch als schwarze Punkte sichtbar); (2) Aorta descendens mit liegendem Pigtail-Katheter; (3) Linke Arteria subclavia; (4) In der Pulmonalarterie liegende Führungsschleuse; (5) Transverser Aortenbogen.
Bei Neugeborenen und kleinen Säuglingen ist ein interventioneller Verschluss dank einer Verkleinerung der Verschlusssysteme mit geringeren Schleusendurchmessern zwar grundsätzlich möglich, geht aber mit einer höheren Komplikationsrate einher (mögliche Stenosierung der Aorta descendens bzw. der linken Pulmonalarterie, periphere Gefäßverschlüsse). Für diese Alters- und Gewichtsgruppe ist die Indikation zum interventionellen Verschluss sehr streng zu stellen.
Technisch schwierig und anspruchsvoll werden Interventionen bei Kindern unter fünf Kilogramm mit sehr großem Ductus, der ein Device mit einem Durchmesser von fünf Millimeter oder mehr für einen Verschluss erfordert. In diesen Fällen werden relativ große und steife Schleusen benötigt, die mit höherer Wahrscheinlichkeit Gefäßkomplikationen (zum Beispiel Femoralarterienverschluss, Gefäßeinrisse) verursachen können [21-24].
Chirurgischer Ductusverschluss
Eine chirurgische Behandlungsindikation ist bei hämodynamisch relevantem Ductus für Defekte gegeben, die einer Katheterintervention nicht zugänglich sind bzw. bei der die technisch mögliche Intervention als zu riskant angesehen wird. Prinzipiell wird die chirurgische Therapie bei untergewichtigen Neugeborenen und sehr kleinen Säuglingen empfohlen (Empfehlungsgrad II A). Die Komplikationsrate ist in erfahrenen Händen sehr niedrig [25]; als selten auftretende Komplikationen sind unter anderem ein postoperativer Chylo- und Pneumothorax bzw. eine Schädigung des Nervus phrenicus oder Nervus laryngeus recurrens zu nennen. Obwohl Restshunts bei einfachen Ligaturen und Clipverfahren selten vorkommen, wird empfohlen, den Ductus doppelt zu clippen bzw. zu ligieren. Der linke Nervus laryngeus recurrens schlingt sich immer um den offenen Ductus, das Gefäß ist daran immer sicher zu identifizieren (Abbildung 5). Blutungen und unbeabsichtigte Ligaturen benachbarter Gefäße (linke Pulmonalarterie, Aorta descendens) stellen nach ausreichender chirurgischer Exposition in erfahrener Hand sehr seltene Komplikationen dar (Abbildung 6).
Abbildung 5: Thorakaler Situs nach Exploration der großen Gefäße über eine posterolaterale Thorakotomie im vierten Intercostalraum. (1) PDA; (2) Aortenbogen; (3) Aorta descendens; (4) Linke Arteria subclavia; (5) Nervus vagus; (6) Nervus laryngeus recurrens.
Abbildung 6: Thorakaler Situs nach Ductusverschluss (Ligatur) über eine posterolaterale Thorakotomie im vierten Intercostalraum. (1) Ligierter PDA; (2) Aorta descendens; (3) Linker Nervus vagus mit Nervus laryngeus recurrens.
Abbildung 7 zeigt ein typisches postoperatives Röntgenbild nach chirurgischem Ductusverschluss mit einem Hämoclip.
Abbildung 7: Postoperative Röntgenaufnahme nach Ductusverschluss. (1) Ductus-Clip; (2) Thoraxdrainage; (3) Endotrachealtubus; (4) Magensonde.
Kontraindikationen
Für einen Ductusverschluss sind nur wenige Kontraindikationen bekannt, vorwiegend handelt es sich dabei um Vitien, die zum Überleben auf eine ductusabhängige Perfusion der Lungen (zum Beispiel Pulmonalatresie) oder des Körperkreislaufs (zum Beispiel unterbrochener Aortenbogen) angewiesen sind. Dazu gehören vor allem angeborene Herzfehler aus dem Formenkreis der Einkammerherzen (zum Beispiel hypoplastisches Linksherz- und Rechtsherzsyndrom) aber auch biventrikulär korrigierbare Vitien wie die Transposition der großen Gefäße (TGA) und die kritische Aortenisthmusstenose.
Das Literaturverzeichnis kann im Internet unter www.bayerisches-ärzteblatt.de (Aktuelles Heft) abgerufen werden.
Die Autoren erklären, dass sie keine finanziellen oder persönlichen Beziehungen zu Dritten haben, deren Interessen vom Manuskript positiv oder negativ betroffen sein könnten.
Teilen:
Das könnte Sie auch interessieren:





