Neu in der Unfallchirurgie – Alterstraumatologie
Neu in der Unfallchirurgie – Alterstraumatologie
Der Erhalt bzw. die Wiederherstellung der Funktionalität sind das erklärte Ziel jeder Frakturbehandlung. Hierzu wurden in den vergangenen Dekaden vielfältige konservative und operative Behandlungsmethoden entwickelt und standardisiert. Entscheidend ist nach einer Verletzung die frühfunktionelle Behandlung, die auf ruhigstellende Verbände verzichtet. Dies ist der Grund, warum heute bei den allermeisten Verletzungen operative Stabilisierungsmaßnahmen mit Osteosynthesen oder auch gelenkersetzende Maßnahmen mittels Prothesen zur Anwendung kommen. Trotz all der damit erzielten Fortschritte waren dem Erfolg in der Vergangenheit immer wieder Grenzen gesetzt, die sich insbesondere bei geriatrischen Patienten schmerzlich bemerkbar machten. Diese Erkenntnis hat in den vergangenen zehn Jahren dazu geführt, dass sich insbesondere die Alterstraumatologie (Traumatologie des geriatrischen Patienten) enorm entwickelt hat. Dies gilt zum einen für die spezielle Herangehensweise im perioperativen Management und, zum anderen ist in den letzten fünf Jahren aber auch ein deutlicher Trend in der Indikationsstellung und dem operativen Management bei geriatrischen Patienten zu erkennen.
Die speziellen Bedürfnisse bei der Behandlung von Verletzungen geriatrischer Patienten, die sich nicht zuletzt aus dem Potpourri aus kognitivem Defizit, Polypharmazie, Mangelernährung, Osteoporose und eingeschränkter Mobilität ergeben, haben in Deutschland nahezu flächendeckend zur Bildung von sogenannten Alterstraumazentren geführt (158 zertifizierte Zentren: Stand 8/2023). Im Schulterschluss zwischen Unfallchirurgen und Geriatern wird hier versucht, all diese genannten Bedürfnisse zu respektieren und in einem möglichst individuellen Behandlungsplan zu berücksichtigen. Ziel ist dabei der Erhalt der Mobilität sowie insbesondere der Fähigkeit, ein möglichst selbstbestimmtes Leben führen zu können und dadurch die drohende Pflegebedürftigkeit nach einer Verletzung abzuwenden.
Bei den realisierten Alterstraumazentren sind verschiedene Organisationsstrukturen zu erkennen [1, 2].
• Hierzu zählt neben dem sogenannten Konsiliarsystem, bei dem der Geriater quasi konsiliarisch die Mitbetreuung der geriatrisch-traumatologischen Patienten auf der unfallchirurgischen Station übernimmt, auch ein Kollegialsystem, bei dem die Patienten zum Beispiel nach operativer Therapie von der Unfallchirurgie möglichst frühzeitig in eine geriatrische Abteilung verlegt werden. In diesem Fall werden die Patienten dann auf der Geriatrie quasi konsiliarisch durch die Unfallchirurgen betreut.
• Daneben existiert auch eine integrierte Organisationsform, bei der die unfallchirurgische Abteilung über geriatrische Mitarbeiter verfügt, die dann auf einer Station mit den unfallchirurgischen Kolleginnen und Kollegen die interprofessionale und interdisziplinäre Betreuung gemeinsam übernehmen.
Entscheidend bei allen diesen verschiedenen Organisationsformen ist der interprofessionelle Ansatz, der neben der ärztlichen Seite auch speziell geriatrisch geschultes Pflegepersonal sowie ein Therapeutenteam aus Physiotherapie, Ergotherapie und Logopädie umfasst. Um die klar gesteckten Ziele, Erhalt der Mobilität und Erhalt der Selbstbestimmtheit, zu ermöglichen, dürfen traumatisierte geriatrische Patienten keine „Patientenkarriere“ erleiden. Diese Forderung stellt die postoperativ unmittelbar einsetzende Mobilisation der Patienten ins Zentrum aller Bemühungen – und dies trotz widriger Umstände wie Osteoporose, postoperativ auftretender oder verstärkter kognitive Defizite und allgemeiner Gebrechlichkeit. Entscheidende Grundvoraussetzung hierfür ist die möglichst schnelle Wiederherstellung der vollen muskuloskelettalen Belastbarkeit nach einer Verletzung. Während in der Vergangenheit oftmals aus Sorge vor einem Versagen der Osteosynthese zum Beispiel bei vorliegender Osteoporose eine eingeschränkte (Teil-)Belastung postoperativ angeordnet wurde, ist heute klar und weitgehend überall akzeptiert, dass insbesondere geriatrische Patienten eine Teilbelastung aufgrund genereller körperlicher Einschränkungen nicht umsetzen können [3]. Zudem wurde gezeigt, dass sich schon allein die Anordnung einer Teilbelastung negativ auf die Mobilisation der Patienten auswirkt [4]. Um aber trotzdem der Forderung nach einer unmittelbar postoperativen Mobilisation nachzukommen, müssen sich die zu stellenden Indikationen und operativen Verfahren an dieser Unfähigkeit zur postoperativen Teilbelastung orientieren. Dabei ist die Entwicklung neuer indikatorischer und operationstechnischer Wege notwendig.
Auch die Beschäftigung mit typischen „Altersfrakturen“ hat zu einem tieferen Verständnis von Verletzungen geführt, die eigentlich weniger einen Verletzungscharakter haben, sondern vielmehr dem chronischen Versagen des knöchernen Skeletts entsprechen. Hier sei insbesondere auf die früher als Bagatellverletzung abgetane vordere Beckenringfraktur verwiesen [5, 6, 7]. Heute ist nahezu flächendeckend bekannt und akzeptiert, dass es sich hierbei um ein schrittweises Versagen der knöchernen Beckenstruktur handelt, die ausgehend von einer lapidaren, durch einen Sturz vermittelten oder spontan entstandenen Fraktur des Scham- und Sitzbeinastes zu einem Komplettversagen der knöchernen Ringstruktur mit Entwicklung mehrerer instabiler Frakturen führen kann. Hierfür wurde von Rommens et al. [5] der Begriff „fragility fracture of the pelvis (FFP) – osteoporoseassoziierte Fragilitätsfrakturen des Beckens“ geprägt und in einer Klassifikation beschrieben.
Sowohl die Änderungen in der Indikationsstellung und der operativen Herangehensweise sowie der Erkenntnisgewinn über einzelne „Verletzungsformen“ und deren Auswirkungen auf die Therapie sollen im Folgenden in Form von Kasuistiken dargestellt werden.
Fall 1: Beckenringfraktur
Eine 90-Jährige, bis dahin ohne Gehhilfen mobile Patientin, wird von der kardiologischen Abteilung in unsere Klinik mit zunehmenden immobilisierenden Schmerzen im Becken, die eine Mobilisation der Patientin unmöglich machten, ohne anamnestisches Trauma vorgestellt. Die durchgeführte Diagnostik mittels Beckenübersichtsaufnahme ergab eine vordere Beckenringfraktur links
(Abbildung 1). Das anschließend angefertigte CT des Beckens mit triplanarer Rekonstruktion zeigte eine Fragilitätsfraktur „FFP 4b“ (transsakrale Ausbruchfraktur mit vorderer Beckenringfraktur links – Abbildung 2) [5]. Nach hausinternem FFP-Behandlungsalgorithmus [8] wurde die Indikation zur operativen Versorgung gestellt und eine minimalinvasive 360°-Stabilisierung durchgeführt. Die postoperative CT-Kontrolle zeigte eine regelrechte Lage des ventralen Fixateur interne sowie der triangulären Stabilisierung des hinteren Beckenrings mittels navigierter iliosakraler Verschraubung und transiliakalem Fixateur interne mit spinopelviner Abstützung beidseits (Abbildung 3). Aufgrund der sehr schlechten Knochenqualität wurden sämtliche Schrauben zementaugmentiert. Die Patientin konnte unmittelbar nach der Operation unter physiotherapeutischer Anleitung und Vollbelastung mobilisiert werden. Nach Absolvierung einer geriatrischen Frühkomplexbehandlung wurde die Patientin nach 22 Tagen in eine geriatrische stationäre Rehabilitation verlegt.
Abbildung 1: Beckenübersichtsaufnahme mit Nachweis einer vorderen Beckenringfraktur links bei unklarer Situation am hinteren Beckenring.
Abbildung 2: Becken-CT (axiale und sagittale Rekonstruktion) mit Nachweis einer FFP 4b.
Abbildung 3: Postoperative Kontrolle mittels Beckenübersichtsaufnahme nach minimalinvasiver „360°-Stabilisierung“.
In der Dreimonatskontrolle mittels CT konnte eine zunehmende knöcherne Konsolidierung der FFP mit entsprechender Kallusbildung bei weiterhin regelrechter Lage des Osteosynthesematerials nachgewiesen werden. Zum damaligen Zeitpunkt war die Patientin rollatormobil und lebte wieder im häuslichen Umfeld.
In der Sechsmonatskontrolle war die FFP mittlerweile knöchern vollständig verheilt (Abbildung 4). Die Patientin war schmerzfrei, im Haus ohne Gehhilfen und für weitere Strecken rollatormobil.
Abbildung 4: CT-Kontrolle sechs Monate postoperativ mit Nachweis einer vollständigen knöchernen Konsolidierung der FFP.
Resümee
Während noch bis vor wenigen Jahren Patienten mit „lapidaren“ vorderen Beckenringfrakturen mit ihren Schmerzen in die hausärztliche Betreuung übergeben wurden, ist heute bekannt, dass diese in der konventionellen Röntgendiagnostik leicht zu detektierende Verletzung meist nur die Spitze des Eisberges ist. Oftmals liegt eine bereits bestehende oder eine sich entwickelnde Instabilität der Ringstruktur des Beckens vor bzw. es droht eine solche. Auch wenn bei der operativen Versorgung dieser Instabilitäten bislang noch kein allgemein gültiges Standardverfahren existiert, besteht Einigkeit darüber, dass die Versorgung auf alle Fälle minimalinvasiv erfolgen sollte [9, 10].
Fall 2: Tibiakopffraktur
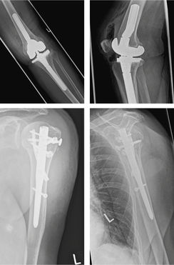
Eine 86-jährige, selbstversorgende Frau, wird auf der Straße von einem abbiegenden PKW bei geringer Geschwindigkeit angefahren und stürzt. Entsprechend den neuen S3-Leitlinie Polytrauma/Schwerverletzten-Behandlung wird eine niedrigschwellige Indikation zur Schockraumbehandlung und CT-Diagnostik (Polytrauma-CT) angelegt, wodurch sich eine valgisch impaktierte Humeruskopf-3-Segment-Fraktur links und eine Tibiakopffraktur Schatzker V links zeigten (Abbildung 5). Anamnestisch berichtet die Patientin über vorbestehende belastungsabhängige Schmerzen im Bereich des linken Knies im Sinne einer Arthrose. Aufgrund der zu erwartenden Unfähigkeit, bei der postoperativen Mobilisation eine Teilbelastung des linken Beines einhalten zu können, wurde von einer Osteosynthese der Tibiakopffraktur abgesehen und der Implantation einer teilgekoppelten, stemgeführten Knieprothese der Vorzug gegeben [11, 12] (Abbildung 6). Auch wenn sich die Humeruskopffraktur von der Morphologie her für eine konservative Therapie geeignet hätte, wurde in diesem Fall zugunsten einer frühfunktionellen Nachbehandlung und besseren Mobilisierung eine Nagelosteosynthese durchgeführt (Abbildung 6). Nach erfolgter frührehabilitativer Komplexbehandlung konnte die Patientin selbstständig auf Stationsebene mobil in die Anschlussheilbehandlung entlassen werden.
Abbildung 5: Konventionelle Röntgendiagnostik und dreidimensionale Rekonstruktion (Aufsicht auf den Tibiakopf von proximal) des linken Kniegelenks sowie CT-Diagnostik der linken Schulter in coronarer, sagittaler und axialer Schichtung. Es zeigt sich eine komplexe Tibiakopffraktur (Schatzker V) und eine valgisch impaktierte Humeruskopf-3-Segmentfraktur.
Abbildung 6: Postoperative Röntgenkontrollen a.p. und seitlich nach Versorgung der Tibiakopffraktur mit teilgekoppelter,
stemgeführter Knieprothese mit lateralem Augment und der Humeruskopffraktur mit Nagelosteosynthese.
Resümee
Auch wenn der Goldstandard in der Versorgung von Tibiakopffrakturen die offene Reposition und Plattenosteosynthese ist, kann beim geriatrischen Patienten bei vorbestehender Gonarthrose oder nicht vollbelastbar rekonstruierbarer Fraktur die primäre prothetische Versorgung eine valide Behandlungsoption mit primärer Vollbelastbarkeit und vorhersehbarem Behandlungserfolg darstellen. Das Konzept ist allerdings noch nicht so breit etabliert wie die prothetische Versorgung von Schenkelhals- oder Humeruskopffrakturen [13]. Die wissenschaftliche Literatur der vergangenen Jahre bestätigt jedoch dieses Konzept [11], welches auch immer breiter umgesetzt wird. Bei einfachen Frakturmustern kann die Implantation einer einfachen bicondylären Oberflächenersatzprothese möglich sein, bei komplexeren Fällen ist allerdings der Einsatz von (teil-)gekoppelten Revisionsprothesen erforderlich.
Fall 3: Tibiaspiralfraktur
Ein 88-jähriger, selbstversorgend lebender Mann, stürzte im Rahmen eines bekannten Schwindels mit Sturzneigung. Im Rahmen dieses Bagatelltraumas zog er sich eine distale Tibiaspiralfraktur rechts (AO 4.3A1) zu (Abbildung 7). Diese wurde mit einer minimalinvasiven Tibiacerclage und eingeschobener Plattenosteosynthese am Folgetag operativ versorgt. Die Nachbehandlung erfolgte im Rahmen einer geriatrischen frührehabilitativen Komplexbehandlung unter unmittelbar postoperativ erlaubter Vollbelastung unter physiotherapeutischer Anleitung. Eine Anämie- und Schwindelabklärung wurden ebenso durchgeführt wie die Einleitung einer Sturzprophylaxe und einer osteoporotischen Therapie. Die Dauermedikation wurde unter geriatrischen Gesichtspunkten hinsichtlich Wechselwirkungen und Nebenwirkungsprofil optimiert.
Abbildung 7: Röntgenbilder des distalen Unterschenkels a.p. und seitlich zeigen eine Tibiaschaftspiralfraktur AO 43A1.
Abbildung 8: Postoperative Röntgenbilder a.p. und seitlich nach Versorgung der Tibiaspiralfraktur mit minimalinvasiver
Cerclage und eingeschobener winkelstabilen Plattenosteosynthese.
Nach Abschluss einer Anschlussheilbehandlung konnte der Patient mit Unterstützung eines Sozialdienstes in seine eigene Wohnung zurückkehren, die Frakturheilung erfolgte komplikationslos.
Resümee
Gerade Frakturen der unteren Extremität stellen den Unfallchirurgen hinsichtlich der operativen Stabilisierung unter der Prämisse der postoperativen Vollbelastbarkeit vor große Herausforderungen. Auch wenn eine einheitliche operative Vorgehensweise bislang nicht zu erkennen ist, zeigt sich die additive minimalinvasiv eingebrachte Cerclage, wie sie bereits 1933 erstmals von Goetze [14] beschrieben wurde und in der Zwischenzeit für die Verwendung moderner Kabelcerclagen modifiziert wurde [15], als verlässliches Verfahren. Wie in einer biomechanischen Studie gezeigt werden konnte, lässt sich dadurch die Steifigkeit einer Plattenosteosynthese nahezu auf das dreifache steigern. Insbesondere die Scherkräfte, welche für die Knochenheilung kontraproduktiv sind, können so signifikant reduziert werden [16]. So wird eine unmittelbar postoperative Vollbelastung ermöglicht, wie sie auch im vorliegenden Fall umgesetzt wurde. In einer anatomischen [17] und einer klinischen [15] Studie konnte die sichere Umsetzbarkeit dieses Konzeptes belegt werden. Entscheidend scheint, dass das gesamte Verfahren minimalinvasiv umgesetzt wird.
Zusammenfassung
Gerade in der Alterstraumatologie hat sich in den vergangenen Jahren ein enormer Entwicklungsfortschritt und Erkenntnisgewinn vollzogen. Die wissenschaftliche Erkenntnis, dass geriatrische Patienten eine postoperative Teilbelastung nicht umsetzen können, hat sich in den vergangenen fünf Jahren durchgesetzt und führt zu einem Entwicklungsschub operativer Verfahren. Auch wenn die hier gezeigten operativen Versorgungen keine Standardverfahren repräsentieren, so stehen sie in Einklang mit vielen Arbeitsgruppen in dem Bemühen, knöcherne Instabilitäten geriatrischer Patienten primär vollbelastbar zu versorgen. Es ist zu erwarten, dass insbesondere solche osteosynthetischen Verfahren auch in der Traumatologie der nicht geriatrischen Erwachsenen eingesetzt werden und damit auch in diesem Bereich zu unmittelbar postoperativ vollbelastbaren Versorgungen führen.
Die Autoren erklären, dass sie keine finanziellen oder persönlichen Beziehungen zu Dritten haben, deren Interessen vom Manuskript positiv oder negativ betroffen sein könnten.
Das Literaturverzeichnis kann im Internet unter www.bayerisches-aerzteblatt.de (Aktuelles Heft) abgerufen werden.
Autoren

Professor Dr. Edgar Mayr

Dr. Stefan Nuber
Dr. Stefan Förch
Klinik für Unfallchirurgie, Orthopädie,
Plastische und Handchirurgie,
Universitätsklinikum Augsburg,
Stenglinstr. 2, 86156 Augsburg
Teilen:
Das könnte Sie auch interessieren:


